中文 Contact
  • About CAAS
    Introduction
    Mission & Vision
    Leadership
    CAAS In Numbers
    Organization
  • Newsroom
    Focus News
    Latest News
    Research Updates
    Bulletins
  • Research & Innovation
    Major Achievements
    Research Areas
    Facilities
    ASTIP
    Innovation Teams
  • International Cooperation
    Partners
    Platforms
    Initiatives
  • Join Us
    Talent Recruitment
    Career Opportunities
    Postgraduate Education
  • Media
    Annual Report
    Video
    CAAS in Media
    Journal
Back CAAS 中文 Contact
  • About CAAS
    Introduction
    Mission & Vision
    Leadership
    CAAS In Numbers
    Organization
  • Newsroom
    Focus News
    Latest News
    Research Updates
    Bulletins
  • Research & Innovation
    Major Achievements
    Research Areas
    Facilities
    ASTIP
    Innovation Teams
  • International Cooperation
    Partners
    Platforms
    Initiatives
  • Join Us
    Talent Recruitment
    Career Opportunities
    Postgraduate Education
  • Media
    Annual Report
    Video
    CAAS in Media
    Journal

Newsroom

Home- Newsroom- Research Updates
Home- Newsroom- Research Updates
  • Focus News
  • Latest News
  • Research Updates
  • Bulletins
  • Rolling Notifications
  • Dec 22 2014

    Discovery of Replicating Circular RNAs by RNA-Seq and Computational Algorithms

    Recently, a cooperation between Institute of Plant Protection, CAAS and School of Life Sciences, University of Science and Technology of China has yielded a big progress in the field of circular RNA (...
  • Dec 22 2014

    Findings of a Novel Amdoparvovirus Infecting Farmed Raccoon Dogs and Arctic Foxes

    Researchers discovered a new amdoparvovirus, named raccoon dog and fox amdoparvovirus (RFAV) from farmed raccoon dogs(Nyctereutes procyonoides) and arctic foxes(Vulpes lagopus) in China.
  • Dec 18 2014

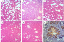
    Potential Risk to Human Public Health Posed by H9N2 Avian Influenza Viruses

    Avian influenza viruses continue to present challenges to human health. Recently the H7N9 and H10N8 viruses that are of low pathogenicity for poultry have caused human infections and deaths in China.
  • Dec 17 2014

    Cucumber Secrets Revealed: Bitter or Sweet ?

    An international team lead by Sanwen Huang, professor of Institute of Vegetables and Flowers and Deputy Director of Shenzhen Agricultural Genomic Institute, CAAS, revealed the molecular basis of biosy...
  • Dec 16 2014

    Prediction of the Key Binding Site of Odorant-binding Protein of Holotrichia oblita

    The scarab beetle Holotrichia oblita Faldermann (Coleoptera: Scarabaeidae) is a predominant underground pest in the northern parts of China, and its larvae (grubs) cause great economic losses because ...
  • Dec 16 2014

    Prediction of the Key Binding Site of Odorant-binding Protein of Holotrichia oblita

    The scarab beetle Holotrichia oblita Faldermann (Coleoptera: Scarabaeidae) is a predominant underground pest in the northern parts of China, and its larvae (grubs) cause great economic losses because ...
  • Dec 02 2014

    China's First Anti-Viral Protein Pesticide—— "Atailing" Successfully Demonstrated

    From June to November 2014, China’s first anti-viral protein pesticide “ATaiLing”, which was developed by the Institute of Plant Protection (IPP), CAAS, was conducted the anti-viral field experiment i...
  • Dec 02 2014

    CAAS Recently Revealed Molecular Expression Characteristics of Ovine Seasonal Estrus

    The mutton sheep and goat genetics and breeding team led by Professor Mingxing Chu in Institute of Animal Science of CAAS, reported that the characterization and comparative profiling of ovarian micro...
  • Nov 27 2014

    Breakthrough in Attenuated Vaccine Improves Control Options for Tembusu Viral Disease

    Since the spring of 2010, outbreaks of duck Tembusu viral disease characterized by death, retarded growth, high fever, loss of appetite, and egg production decline hit the duck breeding areas in China...
  • Nov 27 2014

    “Breeding of Dwarf Pear Germplasm and Dwarf Pear Stocks” Won Sinoref Horticulture Technology Award

    China Society for Horticultural Science and Beijing Sinoref Agricultural Development Co., Ltd. recently released the list of Sinoref Horticulture Technology Awards. “Breeding of Dwarf Pear Germplasm a...
76 77 78 79 80
  • About CAAS
    Introduction
    Mission & Vision
    Leadership
    CAAS In Numbers
    Organization
  • Newsroom
    Focus News
    Latest News
    Research Updates
    Bulletins
  • Research & Innovation
    Major Achievements
    Research Areas
    Facilities
    ASTIP
    Innovation Teams
  • International Cooperation
    Partners
    Platforms
    Initiatives
  • Join Us
    Talent Recruitment
    Career Opportunities
    Postgraduate Education
  • Media
    Annual Report
    Video
    CAAS in Media
    Journal

Links

Ministry of Agriculture and Rural Affairs of the People's Republic of China
Giving to CAAS

CAAS

Copyright © 2023 Chinese Academy of Agricultural Sciences京ICP备10039560号-5 京公网安备11940846021-00001号

No.12 Zhongguancun South Street, Haidian District, Beijing, P.R.China

www.caas.cn/en/

diccaas@caas.cn

Top